从喉咙到胰腺,一根小鱼刺也会危及生命
你或许听说过鱼刺卡喉,但你能想象一根细细的鱼刺,竟能“闯过”喉咙、食管、胃,最终刺穿十二指肠,扎进胰腺,引发足以危及生命的重症。这样的遭遇就真实发生在一位就诊于遵义医科大学附属医院的患者身上。
近日,遵医附院胃肠外科门诊接诊了一位因误吞“鱼刺”引发胰腺炎的患者。三天前无明显诱因,患者出现腹胀、腹痛,伴恶心、呕吐,就诊于赤水市人民医院完善相关检查提示消化道穿孔。为进一步治疗,就诊于遵医附院急诊科,急诊以“胃溃疡伴穿孔?”收入胃肠外科。
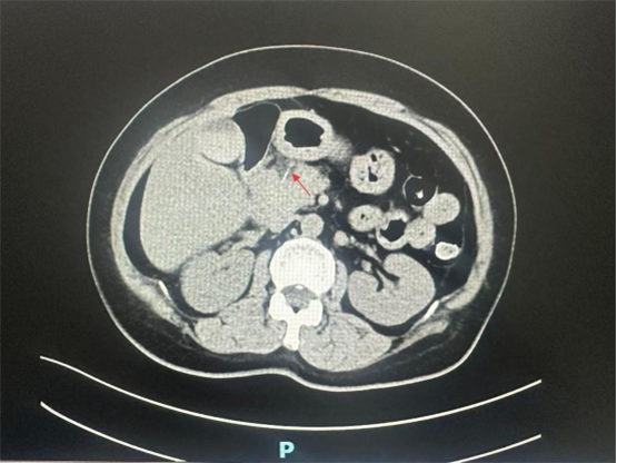
腹部CT显示胃窦水平与胰腺之间细条形高密度影,异物?胆汁淤积或泥沙样结石,遂转入肝胆外科继续治疗,继续胃肠减压,针对胃窦水平与胰腺之间异物,追踪病史10+天前误吞鱼刺,进一步行超声内镜,十二指肠及胃腔未发现异物,异物可能由胃腔穿入胰腺组织,也可能由十二指肠穿入胰腺组织,经全科讨论认为异物已经十二指肠壁进入胰腺,异物远端离肠系膜上静脉非常近,如不及时取出异物,有穿破肠系膜上静脉引起大出血风险。经消化内科会诊排除内镜取出的可能性,只有进行外科手术探查。在积极完善术前准备后进行手术治疗,为减少创伤,首选腹腔镜微创手术探查。
9月30日,肝胆胰外科喻智勇教授主刀为患者实施腹腔镜下手术探查术,术中见胰头下后方与十二指肠内侧环之间一炎症水肿区域,疑为异物所在位置,小心分离、解剖,结果发现异物为白色细长针状“鱼剌”,近端经十二指肠球降部穿出肠壁,远端经胰颈部进入胰腺,完整取出异物,仔细观察肠壁未见明显穿孔,胰腺实质无出血及胰漏。取出后发现异物为长约3-4公分鱼剌。术后患者恢复快,一周后痊愈出院。
十二指肠球部是胃与小肠连接的“门户”,位置特殊,紧邻胰腺。胰腺是分泌消化液、调节血糖的“重要器官”,被十二指肠像“抱娃娃”一样包裹着。当鱼刺被吞咽后,先经食管进入胃,胃的蠕动会将其推向十二指肠。若鱼刺尖锐且未被胃酸软化,到达十二指肠时,就可能被肠道蠕动的“推力”顶向肠壁。十二指肠的肠壁本就较薄,再加上胰腺与它“零距离接触”,一旦鱼刺穿透肠壁,下一步就可能直接刺入胰腺组织。这一“刺”的危害远超想象,胰腺被异物刺穿后,会引发急性胰腺炎,胰腺分泌的消化酶会“反戈一击”,开始消化自身及周围组织,导致剧烈腹痛、高热、恶心呕吐,同时,鱼刺作为“外来入侵者”,会携带细菌引发胰腺感染,严重时可能发展为胰腺脓肿、脓毒症,甚至因器官衰竭危及生命,穿破临近大血管,可能引起致命大出血。
鱼刺刺入胰腺的早期症状往往“不典型”。很多人在鱼刺卡喉时,可能只是短暂不适,误以为鱼刺已“咽下去没事了”,直到数天甚至一周后,出现持续加重的腹痛、发热才就医。此时鱼刺已在胰腺“扎根”,不仅定位困难(需通过增强CT等精密检查),手术取出的难度也极大,患者要面临漫长的治疗周期,甚至可能留下终身的胰腺功能损伤。
这个真实病例说明鱼刺卡喉不是“小事”。当你感觉鱼刺卡喉时,最危险的做法就是“强行吞咽”——饭团、馒头会把鱼刺推向更深的消化道,喝醋也无法软化尖锐的鱼刺,反而可能刺激黏膜。正确做法是立即停止进食饮水,若鱼刺位置浅可尝试轻轻咳出,若异物感明显或出现疼痛,务必第一时间就医,通过喉镜、胃镜等检查将其取出,不给鱼刺“闯关”到胰腺的机会。
一根小鱼刺,足以引发一场消化系统的“灾难”。对待鱼刺卡喉,“及时就医”才是守住健康的最好防线。



遵义医科大学附属医院党委宣传部
一审、策划、编辑:吴双双
二审:张洁
三审:肖毅